Best Ortho Doctor in Chennai for
Bone, Joint & Spine Care

Dr. Easwar
MBBS, MS Ortho. (KEM, Mumbai), FARS (Pune), FISS (Italy)

Dr. Easwar – Orthopaedic Surgeon and Sports Medicine Specialist in Chennai

Dr Easwar completed his under graduation (MBBS) in the oldest and prestigious institution of India, Madras Medical College.

With his outstanding performance in the All-India medical Entrance exam, he got the orthopaedic postgraduation seat in the Seth GS Medical College and KEM Hospital Mumbai, which is the dream institute for all medical aspirants in India. Throughout his postgraduation, he was trained under eminent faculties of India. He has performed and assisted more than 1000 orthopaedic surgeries throughout his residency.

Fellowship Training in Pune (FARS)

With his interest in the field of Arthroscopy and Arthroplasty, Dr Easwar completed one year of fellowship training Under Internationally well recognized Orthopaedic surgeon Dr. Sachin Tapasvi who is the president of Indian Arthroscopy society and Chairperson in ISAKOS knee preservation committee. He got trained in Adult Reconstruction Surgery throughout one year.

Fellowship training in Italy (FISS)

In 2025, I completed a specialized fellowship in Shoulder Surgery at Concordia Hospital, Rome, Italy, under the mentorship of ISAKOS faculty member Dott. Giovanni Di Giacomo. This focused program was dedicated exclusively to the diagnosis, treatment, and surgical management of shoulder disorders, offering in-depth exposure to advanced techniques and contemporary strategies in shoulder care.

Dr. Easwar is well-trained in the following treatments

Sports physiotherapist examining a football player’s knee injury on the field.

Sports Injuries

Whether you’re a weekend enthusiast or a professional, focusing on safe, swift recovery is a necessity to continue playing the sport/activity like before. Which is Dr. Easwar delivers personalized procedures to match the athlete’s journey.

Arthroscopic knee surgery illustration showing ligament repair with surgical instruments.

Arthroscopy Surgery

Experience the benefits of minimally invasive care. Dr. Easwar’s expertise in arthroscopy, from him fellowship, means less pain, smaller scars, and faster healing. 

Surgical team passing instruments during an operation in a hospital operating room.

Trauma Surgery

Accidents can disrupt life in an instant. Dr. Easwar’s trauma care combines rapid intervention with meticulous attention to detail, ensuring fractures and injuries heal correctly so you can return to your routine with strength and peace of mind. 

Medical illustration highlighting joint pain in the shoulder, hip, and knee.

Joint preservation and Reconstruction Surgeries

Preserving your own joints for as long as possible is at the heart of Dr. Easwar’s approach. Using the latest reconstruction techniques, repairs are prioritized avoiding the need for replacement surgery.

Knee joint comparison showing healthy joint versus arthritic knee with inflammation.

Primary and Revision Arthroplasty

Whether it’s your first joint replacement or you’re seeking help for a failed implant, Dr. Easwar provides personalized arthroplasty solutions. Each procedure is tailored to restore your natural movement and relieve pain forever.

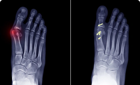
X-ray image of a foot showing bunion deformity before and after correction.

Deformity correction

No two patients are the same. Which is why it takes time to understand your unique bone or joint deformity. Through careful assessment and precise surgical correction, Dr. Easwar helps you regain natural alignment, improved function, and the confidence to move freely again.

Current Position

Dr Easwar has special interest in Sports injuries management. He is currently practising as a consultant orthopaedic surgeon in the following Hospitals.

Dr RK Diabetic Foot and Podiatry Institute, Kolathur, Chennai.

Rela Hospital(RIMS), Redhills, Chennai.

Maruthi Medical Centre, Koyembedu, Chennai.”

Why Choose Dr. Easwar as Your Ortho Specialist in Chennai?

Internationally trained orthopedic surgeon with fellowships in India and Italy, bringing world-class expertise to Chennai’s patients.

Over 1,000 successful surgeries assisted and performed, spanning complex knee, hip, shoulder, and trauma cases.

Renowned for advanced arthroscopy (keyhole surgery), joint preservation, and minimally invasive procedures for faster recovery.

Pioneering research in sports injury management and rehabilitation at SRM Medical College.

Comprehensive treatment for bone, joint, and spine conditions tailored to each patient’s age, lifestyle and needs.

Transparent, patient-first pricing and a compassionate, supportive team focused on holistic recovery.

Prime clinic location in Padi, easily accessible from Anna Nagar, Ambattur, and major Chennai neighborhoods, with modern facilities and onsite physiotherapy.

Famous ortho doctor in Chennai, trusted by families and athletes across Chennai for proven results.

Areas of Expertise

Dr. Easwar offers a broad spectrum of orthopedic expertise, from joint pain treatment and sports injuries to advanced surgical solutions and personalized rehabilitation

Sports injuries

Injuries during sports should be aggressively approached. Surgeries and rehab programmes are entirely different for sports persons with injuries. Our treatment protocol for sport persons aims for return to sports and also further Injury prevention. Some of the common sports injuries we treat include:

  • Ankle Ligament Sprain
  • Knee injury
  • Sports related fractures
  • Muscle sprain especially Hamstring Sprain
  • Shoulder Dislocations
  • Shoulder Labral Injuries
  • Finger Injuries

Musculoskeletal Problems

Musculoskeletal problems such as Low back pain, upper back pain, Non-Specific pain, Knee pain can be addressed with utmost care. The causative factors of musculoskeletal pain in each patient is identified from the patient’s nature of complaints and nature of their daily activities. Also , the exact solution will be provided with regards to lifestyle modification and physiotherapy. Some of the common musculoskeletal problems we treat include:

  • Muscle Triggers
  • Chronic Muscle Pain
  • Acute Muscle injury
  • Fibromyalgia

Knee

Various painful and instability conditions of the knee under the age of 50 years can be successfully managed by knee arthroscopy. Knee Arthroscopic surgeries done by our surgeon includes:

  • ACL Reconstruction
  • PCL Reconstruction(single and Double Bundle)
  • Multi Ligament Reconstruction
  • Meniscus Repair/ Resection
  • Recurrent patellar Dislocation correction
  • Varus deformity correction and Meniscus Root Repair (scientifically proven Surgery in halting the progression of arthritis in individuals under 60 years of age).
  • Osteochondral fracture fixation
  • Advanced arthritis of the knee(grade 3 and 4) are better managed by Total Knee Arthroplasty.
  • Revision Knee Arthroplasty is done for failed primary Total Knee Arthroplasty.

Foot and Ankle

The foot has 26 bones and more than 30 joints. The exact etiology for pain in foot and ankle is very difficult to identify, unless carefully interviewed and proper clinicoradiological examination is done. The Following foot and ankle surgeries are done by our specialist

  • Ankle Arthroscopy
  • ATFL repair /reconstruction
  • Syndesmosis repair / Reconstruction
  • Deformity Correction (eg hallux valgus)
  • Achilles Tendon reconstruction/ Repair
  • Ankle and Subtalar Fusion
  • Midfoot Fusion

Heel pain is one of the most common Orthopaedic complaints which are managed well in our clinic tailored to each patient’s need. Our management protocol includes physiotherapy, Footwear modification, Lifestyle modification advice and Medicines. With these, most of the heel pain should be resolved.

Hip

Many people experience hip pain at some point in their lives. Hip pain can occur due to a variety of causes which includes Hip Arthritis, Femoroacetabular Impingement, Osteonecrosis. All these conditions are well managed by our specialist.

  • Hip Arthroscopy
  • Total Hip Replacement
  • Femoroacetabular Impingement can be managed non surgically by our specific FAI protocol

Shoulder

Shoulder joint has a wide range of versatile movements. So it is more prone for instability which can be treated surgically or non surgically depending on the patient's condition. Rotator cuff swelling or tear are one of the most common source for shoulder pain. Shoulder joint surgeries are done by us through arthroscopy which includes:

  • Rotator Cuff Repair
  • Bankart Repair
  • Acromioplasty
  • Labral Repair

Advanced arthritis of the shoulder joint are well managed by Total shoulder Arthroplasty or reverse shoulder Arthroplasty.

Hand wrist and Elbow

Hand wrist and Elbow are intricate parts of the body with gross motor and fine motor activities necessary for daily living. Pain in these areas restricts the person from his daily day to day activities. Fortunately, painful conditions of these areas can be well managed.

  • Carpal tunnel surgery
  • Dequervain release
  • Trigger finger
  • Carpal bossing
  • Tendon repair/reconstruction
  • Ganglion Excision
  • Tumour Excison
  • DRUJ Reconstruction

Advanced arthritis of the shoulder joint are well managed by Total shoulder Arthroplasty or reverse shoulder Arthroplasty.

Trauma

Fractures in all bones and joints are well managed by us. Our surgical protocol for fracture management is according to internationally recognized AO principles:

  • Better Anatomical Reduction
  • Stable construct
  • Early Mobilisation and Recovery.

GreenNest Apartment, 188/4, Park Rd, U R Nagar Extension, Pandu Ranga Puram, Annanagar west extension, Anna Nagar, Chennai, Tamil Nadu 600101

Service Areas

FAQ’s

Consult an orthopedic doctor if you have ongoing joint, bone, or muscle pain, swelling after injury, difficulty moving, or pain that affects your daily life. Early care helps prevent long-term problems.
Orthopedic doctors treat arthritis, ligament injuries, fractures, back pain, joint instability, sports injuries, and chronic pain in the knee, hip, shoulder, and spine.
Choose a doctor with strong credentials, experience in advanced treatments, positive patient reviews, and a personalized approach. Convenient location and modern facilities add value.
Sports injuries often involve sudden impact or overuse and need specialized care for faster recovery, and recovery to the original levels or better. Treatment plans are tailored to prevent repeat injuries.

Emergency Contact

+91 7200096252